Univ. Prof. Dr. Karl Zweymüller


Über die Person
   Internationale Tätigkeiten
   und Ärzteausbildung

   Kontakt

Die Zweymüller- Hüftendoprothese
   Schaftentwicklung
   Pfannenentwicklung
   Gleitflächen
   Biologische Verankerung
   Verwendung

Operation
   Erstoperation
   Nachbehandlung
   Revisionsoperation

Anwendungsbereich


 

 

Biologische Verankerung im Knochen

Der SL-PLUS® Schaft besteht aus einer geschmiedeten Titan-Aluminium-Niobium-Legierung (Ti6Al7Nb). Die Pfanne ist aus Reintitan gefertigt. Titan wird vom Körper akzeptiert und vom körpereigenen Knochengewebe gut eingebaut (osseointegriert). Man spricht deshalb von biologischer Verankerung (Literaturnachweis: Zweymüller K., Lintner F., Semlitsch M.: Biologic fixation of a press-fit titanium hip joint endoprosthesis. Clinical Orthopaedics and Related Research 235: 195-206, 1988) (Abb. 19 - 21). Allergien gegen Titan sind nicht bekannt. Demgegenüber stellt die Verwendung von Knochenzementen (Acrylharzen) eine rein mechanische Verankerung dar und führt zur massiven Beeinträchtigung der Blutgefäßversorgung des Markraumes des Oberschenkelknochens.


Abb. 19
Querschnitt durch einen Titanschaft (Ti) und den umgebenden Oberschenkelknochen. Dieser umwächst das Implantat in direktem Kontakt: das Titan wird vom Knochen osseointegriert (mehrere Jahre postoperativ)


Abb. 20
Oberfläche eines explantierten Titanschaftes (Ti) mit darauf angewachsenem, neu gebildetem Knochengewebe (B)


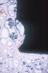
Abb. 21
Biologische Verankerung einer Pfanne: links die rauhe Titanoberfläche (Ti), rechts der aufgewachsene Knochen (B)

Auch bei der Titanpfanne kann somit eine ähnliche Einbautendenz durch körpereigenes Knochengewebe wie beim Schaft gesehen werden.
 

Bleibt diese Osseointegration über Jahre bestehen? Die folgenden Bilder illustrieren dies. Abb. 22a und b zeigen das Präparatröntgen einer 83-jährigen Patientin, welche 20,7 Jahre nach Implantation des Titaniumschaftes verstorben ist. Es finden sich stabile Verhältnisse. Die Abbildungen c und d zeigen, dass das Implantat (Ti) stabil im umgebenden Knochen verankert ist (Dünnschliffpräparate Prof. Dr. F. Lintner, Pathologie, Otto-Wagner-Spital). Dies bedeutet, dass die Osseointegration auch beim alten und sehr alten Menschen auch noch nach vielen Jahren funktioniert.

 

                          
Abb. 22a                                                          Abb. 22b

 

                                    
Abb. 22c                                                          Abb. 22d

 

Möglichkeiten zur Verbesserung der Osseointegration 
 

Dazu wird die Beschichtung des oberen Drittels
der Prothesenschäfte mit einer knochenähnlichen Substanz, dem Hydroxylapatit (HA) verwendet (Abb. 23)

                          
Abb. 23a                                                                                     Abb. 23b

die Aufbringung des HA erfolgt heute im modernen VPS-Verfahren (Vakuumplasmaspritzen), Abb.24


Abb. 24

Durch diese Beschichtung bildet sich bereits in kürzester Zeit an der Prothesenoberfläche neues Knochengewebe (Abb. 25)

                          
Abb. 25a                                                                  Abb. 25b

Das Bild zeigt die Oberfläche eines nach 4 Wochen entfernten Prothesenschaftes bei einem 80-jährigen Patienten.
Am Hydroxylapatit finden sich zahlreiche weißliche Formationen, welche neugebildetem Knochengewebe entsprechen Diese Befunde lassen darauf schließen, dass der Einbau der Prothese durch körpereigenes Knochengewebe im Rahmen der postoperativen Phase bei beschichteten Prothesen rascher und intensiver erfolgt als bei unbeschichteten.