Über die Person
Internationale Tätigkeiten
und Ärzteausbildung
Kontakt
Die Zweymüller-
Hüftendoprothese
Schaftentwicklung
Pfannenentwicklung
Gleitflächen
Biologische Verankerung
Verwendung
Operation
Erstoperation
Nachbehandlung
Revisionsoperation
Anwendungsbereich
 |
Erstoperation
|
Die Hüftoperation wird in
Rückenlage des Patienten durchgeführt. In den meisten
Fällen wird eine Lumbalanästhesie (Kreuzstich) gemacht,
was für den Patienten wenig belastend ist. Als
Operationsvorbereitung ist die Vorsorge mit zwei
Einheiten Eigenblut zu empfehlen. Damit kann in den
allermeisten Fällen das Auslangen ohne Gabe von
Fremdblut gefunden werden. |
 |
Abb. 1
Von
einem Hautschnitt von etwa 9-12 cm Länge ausgehend wird
der Zugang zum Hüftgelenk in Rückenlage des Patienten
durchgeführt. |
 |
Abb. 2
Mit
einem scharf schneidenden, rotierenden Fräser wird das
Knochenbett der Gelenkspfanne zupräpariert. |
 |
Abb. 3
Durch
Wahl des optimalen Fräsers ist die Präparation der
knöchernen Gelenkspfanne für alle Größenverhältnisse
möglich. |
 |
Abb. 4
Die auf
ein Setzinstrument aufgebrachte Titanpfanne wird in die
präparierte Gelenkspfanne eingebracht und dort
festgeschraubt. |
 |
Abb. 5
Situation nach Festschrauben der Titanpfanne. |
 |
Abb. 6
Situation nach Einbringen des Polyäthylen-Keramikinlays
in die Titanpfanne (weiß: Polyäthylen, gelblich:
Keramik) |
 |
Abb. 7
Präparation des Markraumes des Oberschenkelknochens
mittels einer scharf schneidenden Raspel. Diese hat
ebenso wie die Prothese einen rechteckigen Querschnitt.
Für alle 14 verschiedenen Prothesengrößen gibt es 14
gleich große Raspeln. |
 |
Abb. 8
Der
Probierschaft wird eingebracht. |
 |
Abb. 9
Das
definitive Implantat ist nun gewählt und wird
eingesetzt. |
 |
Abb. 10
Der
Schaft wird zuerst händisch eingebracht und anschließend
mit einem Kunststoffeinschläger in die definitive
Position eingeschlagen. |
 |
Abb. 11
Situation nach Einschlagen des Schaftes und Aufstecken
der Keramikkugel. Bei den Keramikkugeln sind 3
verschiedene Halslängen verfügbar. |
Nachbehandlung
Aufgrund der exakten Passform zwischen Implantat und Knochen ist die
volle Belastbarkeit einer operierten Hüfte ab dem 1. Tag gegeben. Am
1. postoperativen Tag macht der Patient einen Stehversuch, am 2. Tag
erfolgt ein Verbandwechsel sowie die Entfernung der Blutungsdrains.
Ab dieser Zeit geht der Patient mit Unterarmstützkrücken, um die
Wundheilung zu erleichtern. Ab dem 4. Tag kann das Bein im
4-Punktegang belastet werden. Während des Spitalsaufenthaltes
erfolgt eine heilgymnastische Therapie. Am durchschnittlich 10. Tag
erfolgt die Entlassung des Patienten nach Hause oder direkt zu einem
Heilverfahren (Rehabilitation).
Bei entsprechender körperlicher
Gegebenheit kann der Patient aber auch schon wesentlich früher nach
Hause entlassen werden. Die volle Belastung des Gelenkes ist nach
Ablegen der Krücken nach 4 bis 5 Wochen empfehlenswert, Autofahren
ist nach etwa 6 Wochen möglich
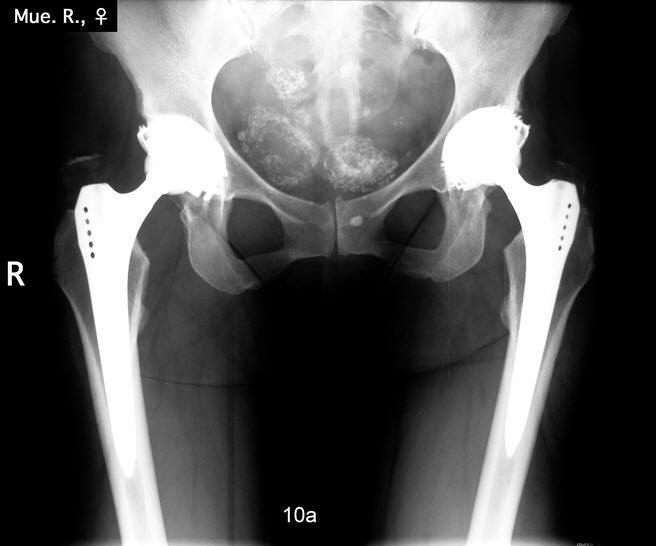
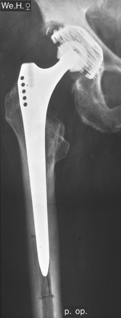
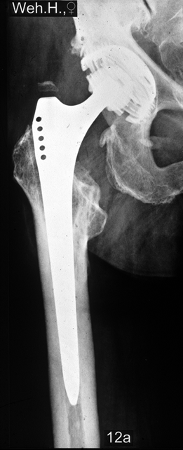
Fallbeispiel

Weiblich, 55 Jahre. Es zeigt sich eine schwere Dysplasiearthrose der
rechten Hüfte (links im Bild) sowie eine Subluxation des linken Hüftkopfes mit
partiellem Kopfeinbruch.

Beide
Hüftgelenke wurden in einer Operation ersetzt. Das Röntgen zeigt das
Ergebnis 10 Jahre postoperativ. Beide Hüften sind stabil im Knochen
verankert, die Patientin ist außerordentlich zufrieden.
Revisionsoperation
|
Ein
ganz wichtiges Spezialgebiet der Hüftendoprothetik
stellt die
Austauschoperation von gelockerten
Hüftimplantaten
dar. Diese Operationen sollten Spezialabteilungen, die
für alle Eventualitäten gerüstet sind, vorbehalten
bleiben.
Für diese Austauschoperationen wurde, ebenfalls
in Zusammenarbeit mit
PLUS Orthopedics, ein Revisionsschaftsystem
geschaffen, bestehend aus 10 Schaftgrößen (SLR-Schäfte,
Abb. 12).
Literaturhinweis: Zweymüller K, Steindl M, Melmer T:
Anterior Windowing of the Femur Diaphysis for Cement
Removal in Revision Surgery.
Clinical Orthopaedics and Related Research 441, 227-236,
2005
Abb. 12

unbeschichtet |

SLR Standard

SLR Lateral
|

HA-beschichtet |
|
|
|

Abb. 12a
SLR-Revisionsschaft
|

Abb. 12b
SL-PLUS® Standard Schaft (links) sowie
SLR-Revisionsschaft (rechts)
|

Abb.12c
Die Abb. zeigt die
übereinander gelegten Schablonen der einzelnen
Größen des SLR-Schaftes. |
|
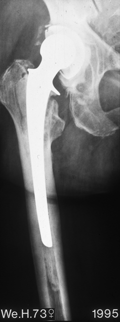
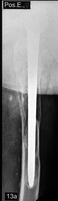
Fallbeispiel

Weiblich 73 Jahre, Zustand nach Implantation einer
zementierten Hüftprothese der rechten Hüfte es findet sich eine massiv gelockerte Hüftpfanne
sowie eine beginnende Schaftlockerung.

Postoperatives Bild

Monitorgezielte Röntgenaufnahme der Bicon-Pfanne, ein
Monat postoperativ. Im oberen Anteil ist die Pfanne
aufgrund des vorhandenen Defektes nicht mit Knochen
bedeckt.
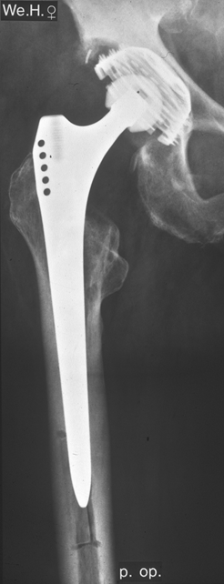
Fallbeispiel

Weiblich, 78 Jahre. Die
Bilder zeigen eine deutlich gelockerte zementierte
Hüftprothese. Der Knochen um den Zement ist stellenweiße
papierdünn

Zustand nach Austausch der
zementierten Prothese durch eine Bicon-Pfanne sowie
einen SLR-Schaft.

Die Röntgenbilder zeigen das Ergebniss nach 13 Jahren.
Die nun 91 jährige Patientin ist gut gehfähig und völlig
beschwerdefrei.

|

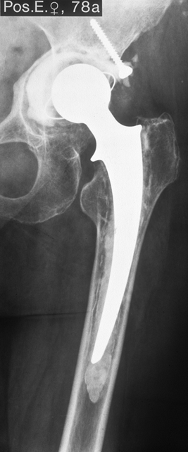
Zustand nach Austausch beider Komponenten durch
eine Bicon-Pfanne sowie einen SLR-Schaft.

Röntgen 12 Jahre nach der Austauschoperation
sind Schaft und Pfanne stabil eingebaut. Die Patientin ist völlig beschwerdefrei und unbegrenzt gehfähig.

Monitorgezielte Röntgenaufnahme
der Bicon-Pfanne, 12 Jahre postoperativ.
Der Knöcherne Defekt um den oberen
Pfannenbereich hat sich durch neugebildetes
Knochengewebe fast vollständig aufgefüllt.



Abb. 13
Die Abbildung
zeigt die einzelnen Schaftsysteme für die
unterschiedlichen Indikationen: SL-PLUS® Schaft (links)
für die Primärimplantation, SLR-Revisionsschaft (Mitte)
für Revisionseingriffe, Modularschaft (rechts) für
komplizierte Revisionseingriffe mit großen
Knochendefekten |
Auch
bei den Revisionseingriffen ist es das Ziel, eine primär
stabile Verankerung im körpereigenen Knochengewebe zu
erreichen. Sekundär ist dann, ähnlich wie bei
Primärimplantaten, der Einbau des Implantates durch das
körpereigene Gewebe zu erwarten.
Für
Revisionseingriffe bei großen Knochendefekten, bei denen
der SLR-Schaft nur insuffizient verankert werden könnte,
steht das Modularsystem zur Verfügung (Abb. 13, 14,
15).
Dieses System besteht aus einem unterem Verankerugnsteil
für den Oberschenkelknochen sowie einem oberen Teil zur
Aufnahme der Kugel. Auch bei diesem System gibt es eine
größenmäßige Abstufung der einzelnen Komponenten und
somit auch hier ein Baukastensystem mit einer großen
Zahl von Kombinationsmöglichkeiten. |

Abb.
14
Diese
Abbildung zeigt das modulare System
mit einer Vielzahl von Kombinationsmöglichkeiten. |

|

Abb. 15a
Diese
Abbildung zeigt eine mehrfach voroperierte linke Hüfte
mit massiver Destruktion des Oberschenkelknochens.
Abb. 15b
3,5 Jahre nach
der Implantation eines Modularschaftes
sowie Bicon-Pfanne ist die Hüftfunktion wieder hergestellt.
|
Die
biconische Pfanne hat sich als sehr gutes Implantat,
auch für Revisionseingriffe bei gelockerten
Hüftprothesenpfannen herausgestellt. Sie wurde für diese
Indikation unverändert gelassen und stellt somit
gleichermaßen ein Primär- als auch ein
Revisionsimplantat dar. Es war deshalb nicht notwendig,
ein spezielles Pfannensystem für Austauschoperationen zu
entwickeln. |
|