Univ. Prof. Dr. K. Zweymüller


Über die Person
   Internationale Tätigkeiten
   und Ärzteausbildung

   Kontakt

Die Zweymüller- Hüftendoprothese
   Schaftentwicklung
   Pfannenentwicklung
   Gleitflächen
   Biologische Verankerung
   Verwendung

Operation
   Erstoperation
   Nachbehandlung
   Revisionsoperation

Anwendungsbereich

 

Biologische Verankerung im Knochen

Der SL-PLUS® Schaft besteht aus einer geschmiedeten Titan-Aluminium-Niobium-Legierung (Ti6Al7Nb). Die Pfanne ist aus Reintitan gefertigt. Titan wird vom Körper akzeptiert und vom körpereigenen Knochengewebe gut eingebaut (osseointegriert). Man spricht deshalb von biologischer Verankerung (Literaturnachweis: Zweymüller K., Lintner F., Semlitsch M.: Biologic fixation of a press-fit titanium hip joint endoprosthesis. Clinical Orthopaedics and Related Research 235: 195-206, 1988) (Abb. 12 - 14). Allergien gegen Titan sind nicht bekannt. Demgegenüber stellt die Verwendung von Knochenzementen (Acrylharzen) eine rein mechanische Verankerung dar und führt zur massiven Beeinträchtigung der Blutgefäßversorgung des Markraumes des Oberschenkelknochens.


Abb. 12
Querschnitt durch einen Titanschaft (Ti) und den umgebenden Oberschenkelknochen. Dieser umwächst das Implantat in direktem Kontakt: das Titan wird vom Knochen osseointegriert (mehrere Jahre postoperativ)

 
Abb. 13
Oberfläche eines explantierten Titanschaftes (Ti) mit darauf angewachsenem, neu gebildetem Knochengewebe (B)

 


Abb. 14

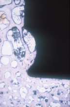
Biologische Verankerung einer Pfanne: links die rauhe Titanoberfläche (Ti), rechts der aufgewachsene Knochen (B)

Auch bei der Titanpfanne kann eine ähnliche Einbautendenz durch körpereigenes Knochengewebe wie beim Schaft gesehen werden
(Abb. 14).

Bleibt diese Osseointegration über Jahre bestehen? Die folgenden Bilder illustrieren dies. Abb. 15a und b zeigen das Präparatröntgen einer 83-jährigen Patientin, welche 20,7 Jahre nach Implantation des Titaniumschaftes verstorben ist. Es finden sich stabile Verhältnisse. Die Abbildungen c und d zeigen, dass das Implantat (Ti) stabil im umgebenden Knochen verankert ist (Dünnschliffpräparate Prof. Dr. F. Lintner, Pathologie, Otto-Wagner-Spital). Dies bedeutet, dass die Osseointegration auch beim alten und sehr alten Menschen funktioniert.

                                                                
Abb. 15a                                                                                                  Abb. 15b

                                       
Abb. 15c
                                                                     Abb. 15d

Möglichkeiten zur Verbesserung der Osseointegration

Dazu wird die Beschichtung des oberen Drittels der Prothesenschäfte mit einer knochenähnlichen Substanz,
dem Hydroxylapatit, verwendet (Abb. 16).

Beschichtung mit Hydroxylapatit (HA)
Ca10(PO4)6(OH)2
             

die Aufbringung des HA erfolgt heute im modernen VPS-Verfahren (Vakuumplasmaspritzen, Abb.17).


Durch diese Beschichtung bildet sich bereits in kürzester Zeit an der Prothesenoberfläche neues Knochengewebe (Abb. 18).
                   
zu Abb. 18 Textunterschrift: Das Bild zeigt die Oberfläche eines nach 4 Wochen
entfernten Prothesenschaftes bei einem 80-jährigen Patienten. Am Hydroxyapatit finden sich zahlreiche weißliche Formationen, welche neugebildetem Knochengewebe entsprechen.